質の高い医療の提供と患者さん中心の診療を基本理念とし、最先端技術と豊富な経験に基づいた幅広い泌尿器科診療を行っています。
診断技術では、前立腺MRI超音波融合標的生検(MRI fusion biopsy)を導入し、海外のガイドラインでも推奨されている従来より精度の高い前立腺がん診断が可能となりました。
さらに、2026年1月より前立腺がんに特異的なPSMA-PET検査を開始し、同月からは最新の放射性リガンド療法(Lu-PSMA/プルヴィクト®)を東海地方でいち早く導入しました。これにより、進行性・再発性前立腺がんに対して世界水準の治療選択肢を提供できる体制が整っています。
手術治療においては、da Vinci Xi®ロボット支援手術システムを2台配備し、前立腺がん・腎がん・腎盂尿管がん・膀胱がんに対するロボット支援手術や腹腔鏡手術を数多く行ってきました。豊富な症例経験により確立された手術技術と安定した治療成績を有し、低侵襲で精密な手術アプローチを実現することで、患者さんの負担軽減と早期の社会復帰に貢献しています。
副腎腫瘍、尿膜管遺残症、腎盂尿管移行部狭窄症など良性疾患に対しても数多くの腹腔鏡手術実績があります。腫瘍が大きい場合や進行度の高いがんに対しては、開腹手術による治療も行っており、必要に応じて外科・血管外科と連携した合同手術を行うなど、高度で複雑な進行がん手術にも対応しています。
また、泌尿器がんをはじめとする進行悪性腫瘍に対しては、化学療法内科と密接に連携し、化学療法・ホルモン療法・放射線治療・免疫治療・放射性リガンド療法を組み合わせた集学的治療を実践しています。患者さん一人ひとりの病状に応じた最適な治療戦略を、専門チームで検討しています。
一方で、日常診療に密接した良性疾患の診療にも力を入れています。
当院は日本で最初に女性泌尿器科外来を開設した施設のひとつであり、現在も女性腹圧性尿失禁や骨盤臓器脱など、女性特有の泌尿器疾患に対して専門的な診療を行っています。
尿路結石に対しては、レーザーを用いた経尿道的手術による結石治療を行っており、体にメスを入れない低侵襲治療として年間100人以上の患者さんの手術に対応しています。排尿障害に対しても経尿道的手術による治療が可能で、身体への負担を抑え、数日での退院を目指した診療を行っています。
さらに、膀胱炎・腎盂腎炎・前立腺炎などの泌尿器感染症や排尿障害に対しても薬物療法が可能で、患者さんの生活の質(QOL)の改善を重視した診療を行っています。
私たちは、地域医療から高度先進医療まで一貫した泌尿器科診療を担い、患者さんが「ここを選んで良かった」と思える医療の提供を目指しています。今後も、学術的根拠に基づく医療と先端技術の導入を続け、信頼される泌尿器科医療の実現に取り組んでまいります。
主な疾患
- 腎がん、副腎腫瘍、前立腺がん、腎盂尿管がん、膀胱がん
- 膀胱炎、腎盂腎炎、前立腺炎
- 尿路結石
- 前立腺肥大症
- 骨盤臓器脱
- 腹圧性尿失禁
- TSC(結節性硬化症)
- 腎移植
泌尿器科の特徴
前立腺MRI超音波融合標的生検(MRI fusion biopsy)
当科では、前立腺がんのより正確な診断を目的として、富士フイルム株式会社の「MRI標的融合生検システム ARIETTA 65LE」を導入しています。事前に撮影したMRI画像で疑わしい病変を同定し、その情報をリアルタイムの超音波画像と融合させることで、がんが疑われる部位を正確に狙った生検が可能となります。


前立腺MRI超音波融合標的生検の特長
- がんが疑われる部位をピンポイントで生検
MRIで検出された病変を超音波画像上に重ね合わせ、従来の系統的生検に比べて精度の高い検体採取を行います。 - 臨床的に重要な前立腺がんの検出率向上
見逃されやすい高悪性度がんの検出に優れており過剰診断の低減にもつながります。 - 生検位置の記録・再現が可能
生検部位が正確に記録され、再生検や治療計画立案にも有用です。
従来法との違い
従来の前立腺生検では、前立腺全体から均等に組織を採取する経直腸的な方法が主流でしたが、前立腺MRI超音波融合標的生検では「疑わしい場所を狙って採る」ことができる点が大きな違いです。更に経会陰的な方法により感染のリスクも軽減され診断精度の向上が期待できます。
当科での取り組み
前立腺生検は腰椎麻酔下で行うため、検査時の痛みは全くありませんが1泊2日で検査を行っています。前立腺がんが疑われる方、過去の生検でがんが検出されなかったが再評価が必要な方に対しても、有用な検査法です。
PSMA-PET検査およびプルヴィクト®(放射性リガンド療法)治療開始のお知らせ
当院は、2026年1月より保険診療として東海地方においていち早く体制を整え、PSMA-PET検査およびプルヴィクト®治療(放射性リガンド療法;Lu-PSMA)を開始いたします。
ご予約のお申し込み(医療関係者の方へ)
本ページから PSMA-PET検査依頼書・診療情報提供書 をダウンロードしていただき、必要事項を記載のうえ、ご紹介元施設でお使いの様式による診療情報提供書を添えて地域医療連携室宛(FAX:052-481-5263)にFAXにてお申し込みくださいますようお願いいたします。
いただいた内容を当院泌尿器科医が確認のうえ、回答させていただきます。
ご予約確定にお時間を要することがありますのでご容赦ください(お申込みをいただいた日の翌営業日を目途に回答いたします)。
- PSMA-PET検査だけを希望される場合
PSMA-PET検査依頼書・診療情報提供書の「今回のご依頼の目的を教えてください」の項目で「PSMA-PET検査のみ」にチェックを入れていただき、お申し込みをお願いいたします。 - PSMA-PET検査およびプルヴィクト®(放射性リガンド療法)治療を希望される場合
PSMA-PET検査依頼書・診療情報提供書の「今回のご依頼の目的を教えてください」の項目で「PSMA-PET検査およびプルヴィクト®(放射性リガンド療法)治療を希望」にチェックを入れていただき、お申し込みをお願いいたします。
ご予約の診療科は「泌尿器科」になります。診療日は毎週月曜日(祝日・5月1日除く)になりますので、月曜日で受診希望日をご記載ください。
進行前立腺がんに対するプルヴィクト®(放射性リガンド)治療とは
プルヴィクト®治療は、主に去勢抵抗性前立腺がん(ホルモン治療が効きにくくなった前立腺がん)に対して行われる新しい放射線治療です。事前にPSMA-PET検査を行い、薬剤が集まりやすいがんであることを確認したうえで、プルヴィクト®治療を行います。
前立腺がんの細胞に多く発現している「PSMA(前立腺特異的膜抗原)」という目印を利用し、がん細胞を選択的に治療することが特徴です。
PSMAに結合する薬剤に、ルテチウム177を組み合わせ、点滴で体内に投与します。この薬剤は前立腺がん細胞に集まり、周囲の正常な臓器への影響をできるだけ抑えながら、ベータ(β)線という飛距離が短く周囲への影響が比較的少ない放射線によりがん細胞を内側から攻撃することで治療効果を発揮します。

▲プルヴィクト®静注による治療を受ける患者さんと家族の方へ(ノバルティス ファーマ株式会社提供)
当院の特徴
当院では、前立腺がんに対する最新の診断・治療を積極的に導入しています。
- PSMA-PETを用いた正確な病変評価
- 泌尿器科・放射線科・核医学部門・看護師による多職種連携
- 治療前から治療後まで一貫した安全管理
東海地方でも早期からこの治療に取り組み、進行前立腺がんに対する新たな選択肢を提供しています。
対象
主に次のような患者さんが対象となります。
- ホルモン治療や抗がん剤治療を行っても、がんが進行している前立腺がん(去勢抵抗性前立腺がん)
- 事前検査(PSMA-PET)で、治療効果が期待できると判断された方
※ 治療の適応は、患者さん一人ひとりの状態を考慮し、担当医が慎重に判断します。
治療のスケジュール
治療は6週ごとに行い最大6回まで実施可能ですが、治療効果や副作用の状況により回数は調整します。治療期間は最大約9か月間になります。治療は点滴注射でおこないます。
副作用があらわれた場合は、治療間隔を延長する場合があります。
期待される効果
- がんの進行抑制
- PSA値(前立腺がんの腫瘍マーカー)の低下
- 痛みなどの症状緩和
※ 治療効果には個人差があります。
主な副作用
多くの場合、副作用は比較的軽度です。
- 倦怠感
- 口の渇き
- 軽い吐き気
- 貧血などの血液検査値の変化
入院中の注意事項
体から出る放射線の量が基準値以下になるまで専用の病室で入院が必要です。入院期間は1回の治療で2~3日間が目安です。
専用の病室内では周囲の方への被ばくを防ぐため、一定期間の行動制限があります。特に治療直後は、薬剤が尿に多く排出されるため排尿方法の決まりごとがあり、治療後放射線量が基準値以下になるまで(通常2~3日間)、面会はできません。

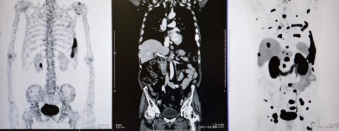
▲(写真左から)骨シンチ、CT、PSMA-PETの自験例
手術実績
当院泌尿器科では、安心・安全で質の高い手術を提供するため、低侵襲治療(体への負担を減らす治療)の発展に早期から取り組んできました。
腹腔鏡手術をいち早く導入し、切開が小さく、回復が早い治療の普及に努めています。
ロボット支援手術(da Vinci Xi®) ―充実した体制
当院では da Vinci Xi® を2台体制で運用しており、待機期間の短縮と、安定した手術スケジュールを実現しています。
泌尿器科部長は2011年より名古屋大学でロボット支援手術を執刀しており、これまでに500件以上のロボット手術を経験しています。
現在では次のような幅広い疾患に対して、ロボット支援手術を行っています。
- 前立腺がん:ロボット支援根治的前立腺全摘術(RARP)
- 膀胱がん:ロボット支援根治的膀胱全摘術(RARC)
- 腎がん:腎機能温存を目的とした ロボット支援腎部分切除術(RAPN)
- 腎盂尿管がん:ロボット支援腎尿管全摘除術(RANU)
- 腎盂尿管移行部狭窄症:ロボット支援腎盂形成術(RAPP)
- 骨盤臓器脱:ロボット支援仙骨膣固定術(RSC)
これらの手術について、豊富な症例経験と安定した成績を積み重ねています。
腹腔鏡手術の主な実績
現在当科で⾏っている主な腹腔鏡⼿術は次のとおりです。
- 副腎腫瘍:腹腔鏡下副腎摘除術
- 腎がん:腹腔鏡下腎摘除術
- 腎盂尿管移行部狭窄症:腹腔鏡下腎盂形成術
- 腹腔鏡下⽣検術(リンパ節、腫瘍、腎など)
- 骨盤臓器脱:腹腔鏡下仙⾻腟固定術(LSC)
- 尿膜管遺残:腹腔鏡下尿膜管摘出術
患者さん一人ひとりに最適な治療方法を検討し、安全で質の高い医療の提供を目指しています。
受付へのご案内